Neurociencias / Ciencias de la Atmósfera
La contaminación del aire incrementaría el riesgo de hemorragias cerebrales
Un nuevo estudio asocia la exposición a partículas finas y dióxido de nitrógeno con un mayor peligro de accidentes cerebrovasculares hemorrágico

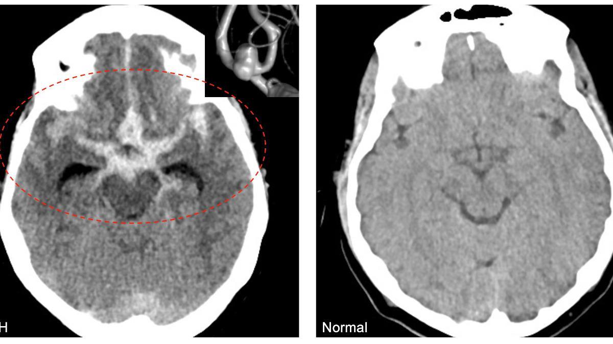
El círculo de la izquierda muestra una hemorragia subaracnoidea aneurismática (aSAH) o sangrado dentro del cerebro. A la derecha, un cerebro normal. / Crédito: Robert Rennert.
Redacción T21
Un equipo científico rastreó los niveles de exposición a la contaminación en pacientes hospitalizados por hemorragias cerebrales y encontró un vínculo potencial: estos pacientes experimentaban tasas más altas de ruptura aneurismática entre tres y seis meses después de los picos en los niveles de contaminación del aire.
La exposición crónica a partículas finas en el aire (PM2.5) supera fronteras invisibles y afecta la salud neurológica. Investigaciones recientes han vinculado estos contaminantes con un aumento en la incidencia de hemorragia subaracnoidea aneurismática (aSAH), una forma de accidente cerebrovascular hemorrágico con tasa de mortalidad superior al 35% y secuelas graves en sobrevivientes.
Estudios previos han asociado la contaminación del aire con infartos isquémicos y hemorragias intracerebrales, pero la relación con la ruptura de aneurismas no había alcanzado evidencia estadística significativa hasta el momento. Ahora, un equipo encabezado por el Dr. Robert Rennert, en la Universidad de Utah, en Estados Unidos, estudió a 70 pacientes con aSAH entre 2018 y 2023.
Datos contundentes
Mediante la revisión de casi 13.000 mediciones diarias de PM2.5, los investigadores analizaron los niveles de exposición en múltiples períodos: desde días previos y hasta 270 días antes de la admisión de los pacientes. La región de la cual provienen los casos analizados es una de las zonas más afectadas por la contaminación del aire en Estados Unidos, lo que subraya la pertinencia del entorno para este tipo de análisis, de acuerdo a una nota de prensa.
Según el estudio publicado en la revista npj Clean Air, las inversiones térmicas invernales y el humo de incendios forestales en los valles del oeste estadounidense causan picos recurrentes de PM2.5. Con datos de seis estaciones medioambientales y variables meteorológicas (temperatura y presión), los autores aplicaron diferentes modelos para ajustar factores estacionales y climáticos y evaluar el riesgo diario de hemorragias cerebrales.
Confirmaron un incremento significativo del riesgo de rupturas aneurismáticas entre 90 y 180 días tras exposiciones altas a contaminantes atmosféricos. Un punto clave fue que la presión atmosférica elevada el día de la hemorragia duplicó el riesgo de aSAH, de acuerdo a los datos analizados.
Una relación concreta
En tanto, el análisis reveló un patrón recurrente: los picos de aSAH aparecían entre 3 y 6 meses tras episodios de contaminación invernal marcados por inversiones térmicas. De los 70 pacientes, la edad media fue de 58,2 años y el 72% fueron mujeres, reflejando un perfil demográfico con mayor vulnerabilidad. Según los investigadores, esto refuerza la hipótesis de un efecto acumulativo y retardado de la contaminación con PM2.5 sobre la pared vascular aneurismática.
Referencia
Effects of airborne particulate exposure on aneurysmal subarachnoid hemorrhage risk: brief communication. Michael T. Bounajem et al. npj Clean Air (2025). DOI:https://doi.org/10.1038/s44407-025-00018-5
Por primera vez se documenta de forma significativa la relación entre PM2.5 y aSAH, con un efecto retardado de varios meses. Se requieren estudios multicéntricos y prospectivos para confirmar causalidad y definir umbrales de exposición seguros.
Además, investigar mecanismos moleculares de inflamación crónica y daño oxidativo en la pared vascular abrirá nuevos caminos a estrategias terapéuticas y políticas ambientales más efectivas.
- Mallorca registra la nevada más intensa del año mientras continúa en alerta naranja por viento
- Crece el peligro de que Baleares tengan que devolver a Madrid dinero para la formación de parados
- Detenido en Palma un pakistaní por una estafa de 1,2 millones de euros con facturas falsas
- Pedro García Aguado: 'En Hermano Mayor aprendí a no juzgar a los jóvenes demasiado duro, hay que ayudarles a entender por qué en la vida muchas veces las cosas no van como uno quiere
- El Govern iniciará en pocos días los controles contra el fraude en la vivienda balear
- Detienen a un matrimonio británico por intentar secuestrar a una mujer en la calle en Son Ferriol
- Los cinco comercios mallorquines que resisten en la histórica travesía Cort-Born de Palma: un mapa revela que llegaron a convivir 63 tiendas
- Deniegan la pensión de viudedad a un hombre que convivió quince años con su pareja en Baleares