Inteligencia Artificial / Biología Humana
Una IA puede detectar enfermedades más rápido y mejor que los humanos
El modelo logra descubrir signos de enfermedades en una amplia variedad de tejidos humanos, y su carácter escalable le permite seguir aprendiendo sobre otras estructuras biológicas y patologías

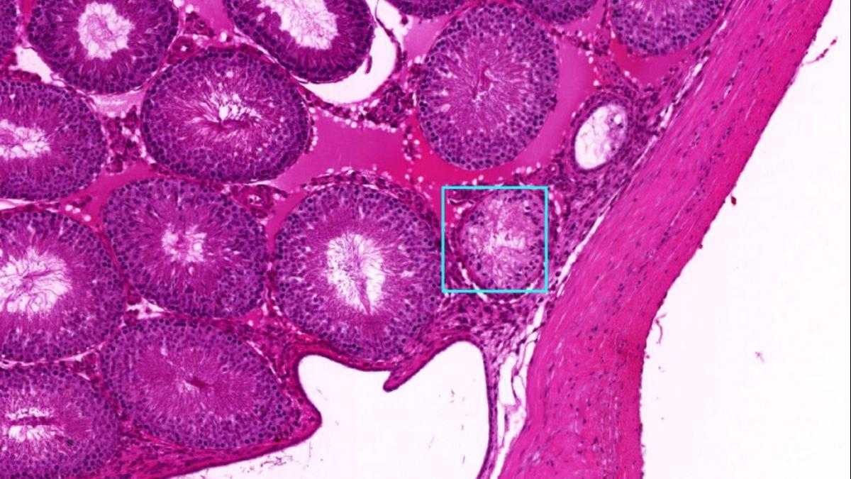
El modelo de Inteligencia Artificial desarrollado por los investigadores pudo identificar patologías mucho más rápido que los humanos, a veces detectando signos que los médicos habían pasado por alto. / Créditos: Eric Nilsson, Skinner Laboratory, WSU.
Pablo Javier Piacente
Un nuevo modelo de aprendizaje profundo, un enfoque especializado de Inteligencia Artificial (IA), permite detectar enfermedades mediante el reconocimiento y análisis de imágenes médicas en un par de semanas, un proceso que podría tomar un año o más si es realizado por especialistas humanos. Además de la rapidez, las pruebas realizadas muestran que la IA es más precisa: pudo identificar signos de patologías que los médicos no habían logrado detectar.
Científicos de la Universidad Estatal de Washington, en Estados Unidos, describen en un nuevo estudio publicado en la revista Scientific Reports las características de un modelo de Inteligencia Artificial (IA) que puede identificar patologías o signos de enfermedades en imágenes de tejido animal y humano mucho más rápido y con mayor precisión que las personas. El desarrollo podría acelerar drásticamente el ritmo de la investigación relacionada con las enfermedades.
Además, el nuevo modelo posee el potencial para optimizar el diagnóstico médico: según una nota de prensa, permitiria detectar el cáncer a partir de una imagen de biopsia en cuestión de minutos, un proceso que normalmente le lleva a un patólogo humano varias horas. En otros casos, logra analizar imágenes médicas y detectar signos en algunas semanas, cuando habitualmente esos procesos pueden extenderse hasta un año o incluso más tiempo.
Más amplio, preciso y veloz
Los investigadores detallan en el estudio que el aprendizaje profundo implica un enfoque de IA específico, que hace posible trabajar con mayores cantidades de datos y configurar procesos escalables, capaces de optimizarse con el paso del tiempo y abarcar nuevos dominios y habilidades. Se ha demostrado que aporta un rendimiento superior para automatizar las tareas de reconocimiento de imágenes, además de superar las capacidades humanas tanto en tiempo como en precisión.
Sin embargo, el desarrollo de métodos para detectar e identificar automáticamente patologías en diapositivas e imágenes digitalizadas de tejidos supone desafíos únicos: el gran tamaño de estas imágenes y la complejidad de las características presentes en el tejido biológico hacen que la mayoría de los modelos previos de IA estén entrenados para trabajar exclusivamente con un grupo de tejidos, ya que no logran abarcar más estructuras con eficiencia.
En el nuevo estudio, los investigadores estadounidenses desarrollaron y presentaron un enfoque de aprendizaje profundo que puede ser entrenado para localizar y clasificar con precisión diferentes tipos de patologías en una amplia variedad de tejidos y estructuras, como testículos, ovario, próstata y riñón. El procedimiento se optimizó y validó mediante el análisis de distintos ejemplos.
Aprende de sus errores y mejora
En líneas generales, los científicos hallaron que el modelo de IA era óptimo y más veloz en comparación con los procedimientos manuales. En concreto, las observaciones demuestran que el análisis de histopatología o reconocimiento de enfermedades en imágenes de tejidos mediante aprendizaje profundo es significativamente más eficiente y preciso que el análisis estándar llevado adelante en forma manual por humanos.
Por último, un artículo publicado en Tech Explorist indica que además de ser escalable y poder ampliar sus dominios con el paso del tiempo, el nuevo enfoque de aprendizaje profundo posee también retropropagación: esto significa que aprende de sus propios errores, los arregla e intenta no repetirlos en el futuro.
Referencia
Scalable deep learning artificial intelligence histopathology slide analysis and validation. Colin Greeley et al. Scientific Reports (2024). DOI:https://doi.org/10.1038/s41598-024-76807-x
- Los constructores se niegan a hacer obras públicas de Baleares por valor de 54 millones de euros al no ser rentables
- Absuelto el inquiokupa acusado de quedarse muebles y cuadros del exalcalde Joan Monjo
- Polémica entre los amarristas alemanes de Club de Mar a escasas semanas de su reapertura
- Kühn reprocha a Hacienda no haber reclamado la deuda cuando recibió la indemnización millonaria por Muleta
- El calvario de los jóvenes de Baleares para comprar una vivienda: «De nada sirve el aval de la Hipoteca Jove si el ITP te bloquea»
- Jagoba Arrasate, tras la derrota del Mallorca ante el Betis: 'Les hemos dado de comer con esas transiciones
- El Govern infla ayudas a la vivienda mientras el ahorro aún asfixia a los jóvenes de Baleares
- Violencia en el fútbol base: un cadete de 14 años del Sant Jordi, trasladado al hospital tras recibir una patada en un partido en Manacor