Instituto ORL
¿Qué es la otitis media aguda?
El doctor Jaime Carbonell explica qué es esta patología y qué síntomas provoca

La otitis media aguda es una acumulación de moco y pus en el oído medio.
Dr. Jaime Carbonell | Palma
La otitis media aguda es la otitis típica de la infancia, aunque esta patología se presenta a cualquier edad; es una de las más frecuentes entre los 0 y 4 años de edad, sin distinción de sexo y con un claro patrón estacional, siendo mucho más frecuente en otoño e invierno, aunque puede presentarse en cualquier época del año.
Es una acumulación de moco y pus en el oído medio, que es una cavidad situada detrás del tímpano y puede presentarse en uno o en ambos oídos a la vez. Suele aparece en el contexto de un resfriado de vías altas y los síntomas son muy variables, siendo muy significativo el que no siempre están presentes.
Normalmente, los síntomas relacionados con esta patología son la fiebre, el dolor de oídos, y el conocido como el signo del trago (la presión de la entrada del conducto es dolorosa); sin embargo, en muchas ocasiones no se presenta ningún síntoma evidente como el dolor o la fiebre y las señales son mucho más sutiles, como cambios del carácter, irritabilidad, mal humor o cambios en el apetito. Un síntoma que se presenta siempre es la pérdida de audición (el oído medio es como un tambor y lleno de líquido no suena bien), sin embargo esto no es una ayuda cuando el paciente tiene de 0 a 6 años.
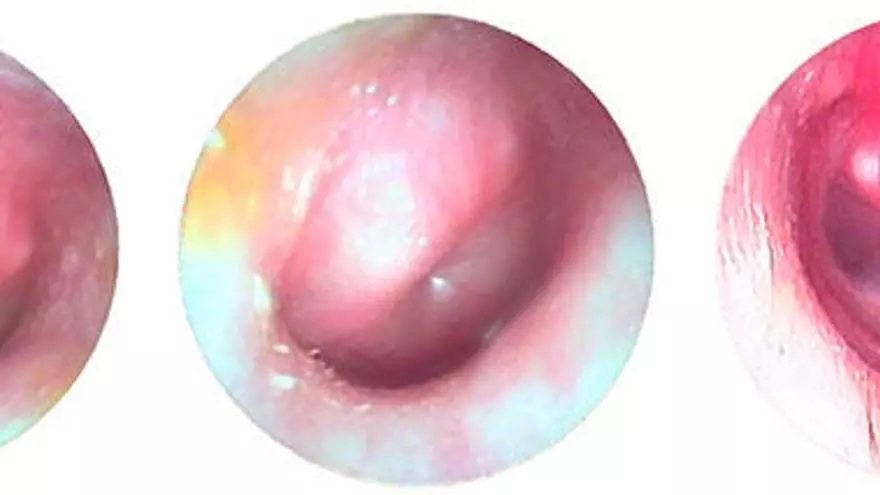
El diagnóstico se realiza mediante otoscopia, que es la exploración del oído mediante un aparato que nos permite ver el tímpano (otoscopio), que aparece rojo y abombado (como la yema de un huevo); la dificultad radica en que esta exploración puede resultar muy complicada en niños, sobre todo en bebes, ya que tienen conductos auditivos muy estrechos, con mucho pelo y frecuentemente con cera, que impide ver el tímpano. En esos casos, debe limpiarse el conducto y para ello hay otoscopios que permiten la introducción de instrumentos, otoendoscopios o microscopios .
El tratamiento consiste en antibióticos, antiinflamatorios y descongestionantes nasales, que en el plazo de entre 5 y 10 días suelen resolver el cuadro.
El control es crucial para resolver la otitis
El seguimiento del episodio debe realizarse por el otorrinolaringólogo o el pediatra y es crucial el control después de la resolución de la otitis, sobre todo en niños, ya que la desaparición de los síntomas no significa que la otitis se haya curado correctamente; el problema reside en que, en algunos casos, el tratamiento consigue controlar la infección, pero no consigue vaciar de líquido el oído medio, con lo que la audición no se recupera completamente al quedar moco en los oídos y la reinfección es más probable.
El problema en algunos niños no es que no respondan bien al tratamiento de sus otitis, sino que recaen en tantas ocasiones que el tratamiento con antibióticos no es una solución; en otros casos, la infección se resuelve satisfactoriamente, pero varios meses después, el moco sigue estando en los oídos, lo que hace que sea aconsejable sacarlo.
MÁS INFORMACIÓN
Instituto ORL - Dr. Carbonell
- El heredero de un imperio sueco de las hamburguesas muere tras un accidente en Valldemossa
- El Ayuntamiento de Palma ya tramita la licencia para que el restaurante Roka se instale en mayo de 2027 en el nuevo Paseo Marítimo
- 80 personas mayores disfrutan del mar por primera vez en Mallorca: 'Tengo una sensación de capricho y de cumplir un sueño
- Una serpiente de herradura en la playa de Palmira, en Peguera, asusta a bañistas y vecinos: “Venía por el agua”
- La calle Sant Esperit emerge por la masificación turística en Sant Miquel en el centro de Palma: “Aquí evitamos que los guiris nos atropellen”
- El popular mercadillo ibicenco de Las Dalias aterriza en Mallorca: Estas son sus artesanías y actividades
- Un constructor acusado de una estafa inmobiliaria en Mallorca: “No fue mi intención arruinar la vida de nadie”
- Wilhelm Bergfors, heredero de Max, cadena con 200 restaurantes en los países nórdicos